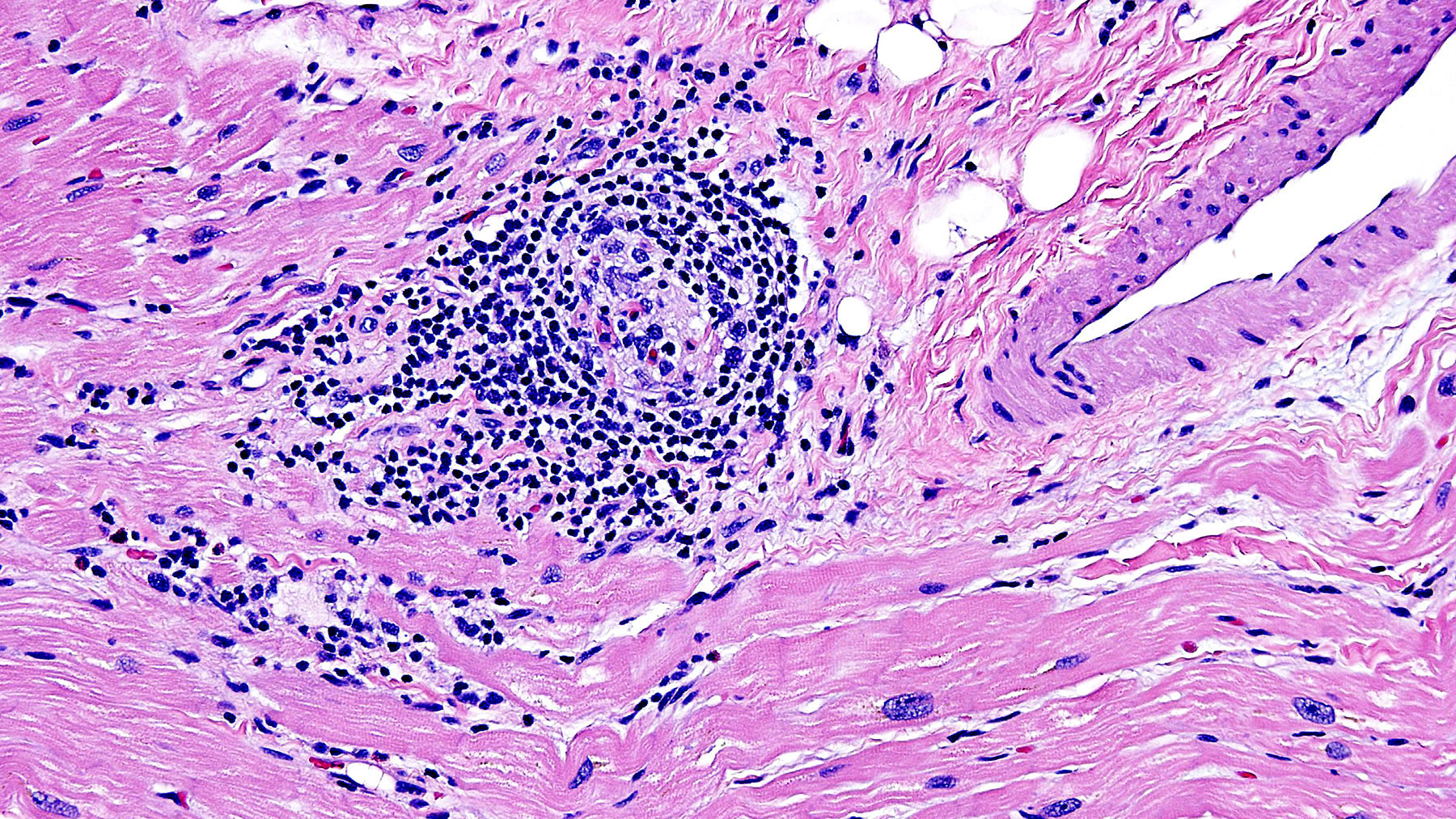
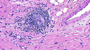
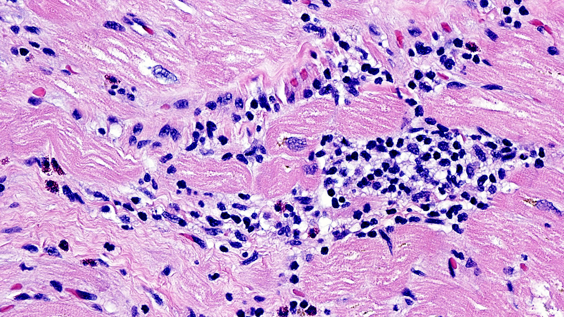
Chronic Interstitial Myocarditis

Figure A: H&E staining (10x)

Figure B: H&E staining (20x)

Figure C: H&E staining (40x)

Figure D: H&E staining (40x)

     

Myocarditis

 

Clinical History: 29 year-old male with history of ulcerative colitis and drug induced lupus developed acute systolic heart failure.

Histology: H&E stains ( Figures A, B, C, and D) show Chronic interstitial myocarditis with mild to moderate infiltration of interstitial spaces with mononuclear cells admixed with scattered eosinophils and diffuse fibrosis.


(Last Edition: December 13, 2019 )