Giant Cell Myocarditis

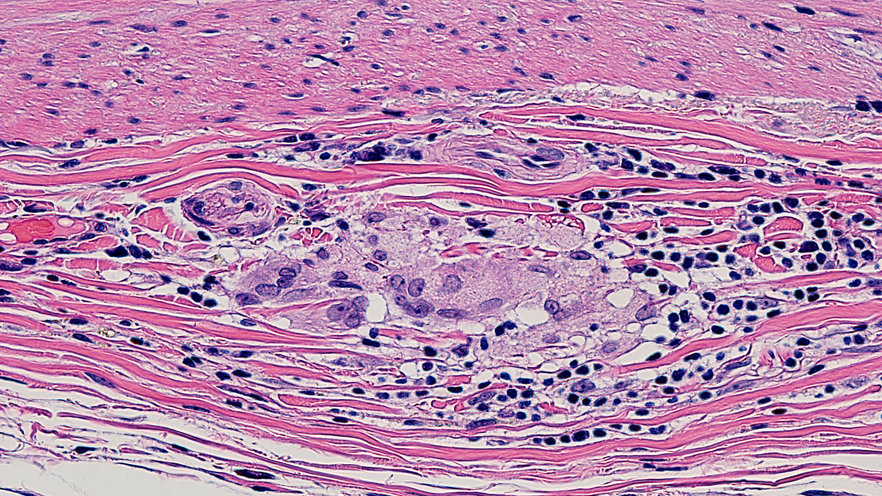
Figure A: H&E staining (40x)

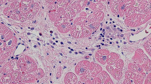
Figure B: H&E staining (40x)

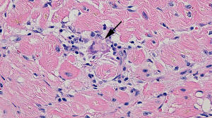
Figure C: H&E staining (40x)

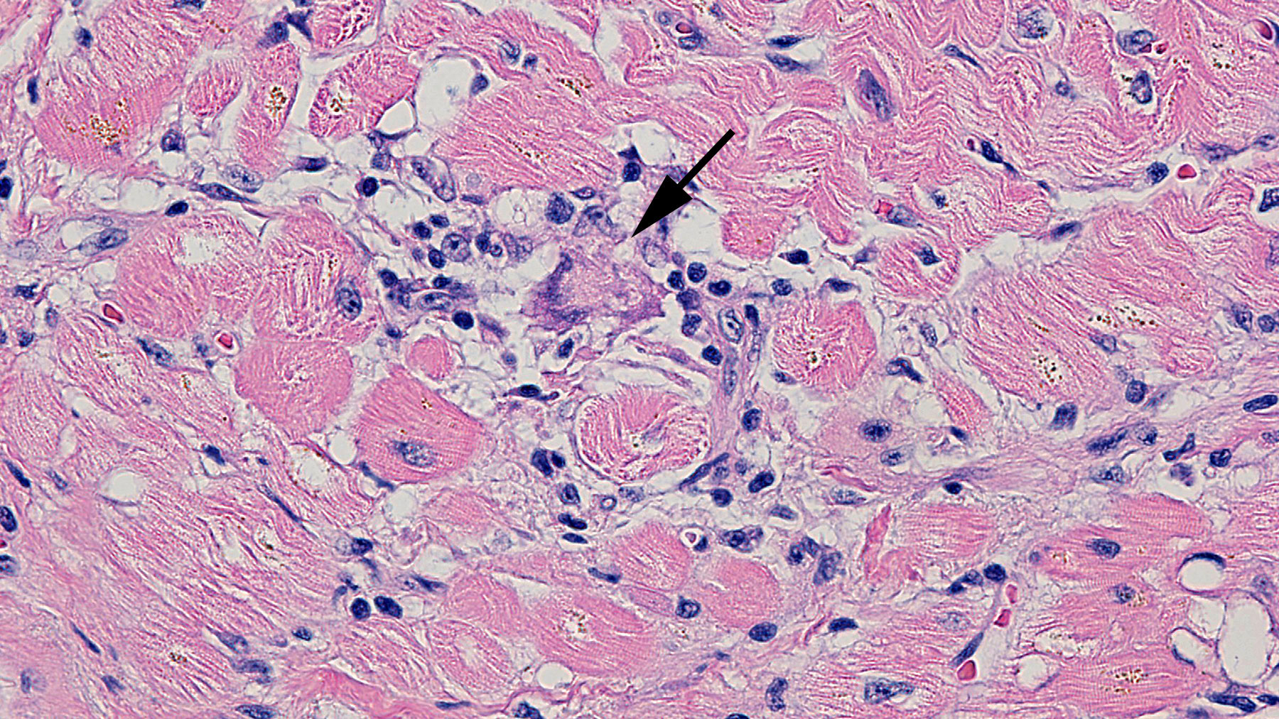
Figure D: H&E staining (40x)

         Figure E: Trichrome staining (10x)

   

Myocarditis

 

Clinical History: 63 year-old male with end stage non ischemic cardiomyopathy and severe heart failure underwent a heart transplant.

Histology: The above histological sections of myocardial tissue show multiple foci of mixed inflammation, interstitial fibrosis and occasional myocardial necrosis. The infiltrates are comprised of lymphocytes, macrophages, eosinophils, plasma cells, histiocytic aggregates and giant cells (arrow in figure A). Trichrome stain (Figure E) highlights the interstitial myocardial fibrosis.


(Last Edition: December 13, 2019 )